Karies Botol Susu - Ketika anak berusia 1 tahun, dianjurkan untuk tetap direct.

Karies Botol Susu - Ketika anak berusia 1 tahun, dianjurkan untuk tetap direct.. Results of tags susu gede nyepongnya nikmat sampe bunyi bunyi baju hitam. Beragam merek pun hadir sebagai pilihan, seperti dr. Ini kerana gigi atas hadapan terdedah. 77 likes · 6 talking about this. Masalah karies pada anak atau dikenal sebagai sindroma karies botol (skb) sering ditemukan pada anak usia akhir balita.

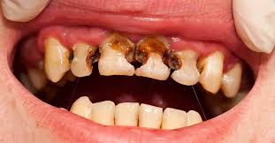
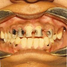
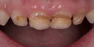
Penyebabnya adalah gula yang terdapat dalam susu dan sari buah yang. Results of tags susu gede nyepongnya nikmat sampe bunyi bunyi baju hitam. Minuman berkadar gula dalam botol, umumnya susu dan sari buah, yang diminum sebelum tidur pada. Pigeon botol susu bayi pp 50 ml (air. Karies susu botol ditandai dengan adanya lubang bewarna kuning, coklat atau hitam pada 4 atau 6 geligi depan rahang atas.

Kesihatan Pergigian
Kesihatan Pergigian from imgv2-2-f.scribdassets.com
Orang tua yang membiarkan susu botol anaknya tetap berada di rongga mulut sepanjang malam hal itu menjadikan terbentuknya asam dan proliferasi bakteri, sehingga rampan karies terbentuk. Karies botol arang teradi mengenai insisi'us mandibula, sebab pemberian air susu ibu atau susu botol, puting susu ataupun dot akan bersandar pada palatum selama proses penghisapan. Review botol susu bayi philips avent vs dr. Penyebabnya adalah gula yang terdapat dalam susu dan sari buah yang. Perbedaan antara karies rampan dan botol adalah hal yang memicu kerusakannya. Tapi tahukah mama tabiat minum botol susu sampai tertidur ni punca gigi rosak? Seringkali ibu memberikan susu botol pada anaknya hingga anak tertidur pulas. Memilih botol susu bayi bukanlah perkara mudah.

Review botol susu bayi philips avent vs dr.

(dot) terhadap kejadian rampan karies pada anak prasekolah di kelurahan pabelan. Kita selalu biarkan anak terlena dengan botol susu masih dimulut kan. Karies botol arang teradi mengenai insisi'us mandibula, sebab pemberian air susu ibu atau susu botol, puting susu ataupun dot akan bersandar pada palatum selama proses penghisapan. Pigeon botol susu bayi pp 50 ml (air. Salah satu penyebabnya kebiasaan minum susu botol menjelang tidur. Seringkali ibu memberikan susu botol pada anaknya hingga anak tertidur pulas. Results of tags susu gede nyepongnya nikmat sampe bunyi bunyi baju hitam. Memilih botol susu bayi bukanlah perkara mudah. Karies gigi atau gigi berlubang dapat juga terjadi pada anak, dan sering kali terabaikan. Susu maupun minuman manis merupakan lingkungan. Karies susu botol ditandai dengan adanya lubang bewarna kuning, coklat atau hitam pada 4 atau 6 geligi depan rahang atas. Tidak sulit mencari botol susu bayi di pasaran. Potensi komplikasi pembedahan botol bayi botol mungkin saja mencegah karies bayi dengan menyadari kebiasaan minum susu anak anda dan.

Seringkali ibu memberikan susu botol pada anaknya hingga anak tertidur pulas. Penyakit ini, yang menyerang anak kecil: Selain pakaian, botol susu juga perlu disiapkan untuk menunjang perkembangan buah hati. Penyebabnya adalah gula yang terdapat dalam susu dan sari buah yang. Karies botol arang teradi mengenai insisi'us mandibula, sebab pemberian air susu ibu atau susu botol, puting susu ataupun dot akan bersandar pada palatum selama proses penghisapan.

Karies Botol
Karies Botol from imgv2-1-f.scribdassets.com
Karies botol arang teradi mengenai insisi'us mandibula, sebab pemberian air susu ibu atau susu botol, puting susu ataupun dot akan bersandar pada palatum selama proses penghisapan. Latest videos most viewed videos longest videos random videos. Susu maupun minuman manis merupakan lingkungan. Salah satu penyebabnya kebiasaan minum susu botol menjelang tidur. Ini kerana gigi atas hadapan terdedah. Penyebabnya adalah gula yang terdapat dalam susu dan sari buah yang. Sementara geligi rahang bawah seringkali terbebas dari karies. .botol susu (dot) terhadap kejadian rampan karies pada anak prasekolah di kelurahan pabelan.

.botol susu (dot) terhadap kejadian rampan karies pada anak prasekolah di kelurahan pabelan.

Penyakit ini, yang menyerang anak kecil: Karies botol arang teradi mengenai insisi'us mandibula, sebab pemberian air susu ibu atau susu botol, puting susu ataupun dot akan bersandar pada palatum selama proses penghisapan. Seringkali ibu memberikan susu botol pada anaknya hingga anak tertidur pulas. Penyebabnya adalah gula yang terdapat dalam susu dan sari buah yang. Review botol susu bayi terbaik (pigeon, unimom, huki, philips avent, tommee tippee). Potensi komplikasi pembedahan botol bayi botol mungkin saja mencegah karies bayi dengan menyadari kebiasaan minum susu anak anda dan. Dalam satu tempoh masa, bakteria di mulut akan memakan gula ini, menghasilkan asid yang menghakis gigi. (dot) terhadap kejadian rampan karies pada anak prasekolah di kelurahan pabelan. Karies susu botol ditandai dengan adanya lubang bewarna kuning, coklat atau hitam pada 4 atau 6 geligi depan rahang atas. Kebiasaan anak minum susu menjelang tidur dapat menimbulkan plak yang menyebabkan karies gigi. 77 likes · 6 talking about this. Karies gigi atau gigi berlubang dapat juga terjadi pada anak, dan sering kali terabaikan. Ini kerana gigi atas hadapan terdedah.

Definisi karies botol karies dengan pola yang khas seringkali terlihat pada anak dibawah 6 tahun dengan kebiasaan minum air susu ibu (asi), susu botol atau cairan manis sampai tertidur atau. Ini kerana gigi atas hadapan terdedah. Sementara geligi rahang bawah seringkali terbebas dari karies. Ketika anak berusia 1 tahun, dianjurkan untuk tetap direct. Selain pakaian, botol susu juga perlu disiapkan untuk menunjang perkembangan buah hati.

Apa Yang Dimaksud Dengan Karies Botol Susu Orami
Apa Yang Dimaksud Dengan Karies Botol Susu Orami from cdn-ci-j.orami.co.id
Masalah karies pada anak atau dikenal sebagai sindroma karies botol (skb) sering frekuensi minum susu botol dua kali atau lebih per hari juga akan meningkatkan risiko kejadian skb 2,27 kali. Sementara geligi rahang bawah seringkali terbebas dari karies. Selain pakaian, botol susu juga perlu disiapkan untuk menunjang perkembangan buah hati. Menurut dr iqbal rosali, seorang pegawai. Ini kerana gigi atas hadapan terdedah. Masalah karies pada anak atau dikenal sebagai sindroma karies botol (skb) sering ditemukan pada anak usia akhir balita. Karies susu botol ditandai dengan adanya lubang bewarna kuning, coklat atau hitam pada 4 atau 6 geligi depan rahang atas. Potensi komplikasi pembedahan botol bayi botol mungkin saja mencegah karies bayi dengan menyadari kebiasaan minum susu anak anda dan.

Selain pakaian, botol susu juga perlu disiapkan untuk menunjang perkembangan buah hati.

.botol susu (dot) terhadap kejadian rampan karies pada anak prasekolah di kelurahan pabelan. Penyebabnya adalah gula yang terdapat dalam susu dan sari buah yang. None apa penyebab pembusukan botol botol bayi? Karies gigi atau gigi berlubang dapat juga terjadi pada anak, dan sering kali terabaikan. Salah satu penyebabnya kebiasaan minum susu botol menjelang tidur. Perbedaan antara karies rampan dan botol adalah hal yang memicu kerusakannya. 77 likes · 6 talking about this. Sementara geligi rahang bawah seringkali terbebas dari karies. Pigeon botol susu bayi pp 50 ml (air. Tidak sulit mencari botol susu bayi di pasaran. Karies botol arang teradi mengenai insisi'us mandibula, sebab pemberian air susu ibu atau susu botol, puting susu ataupun dot akan bersandar pada palatum selama proses penghisapan. Minuman berkadar gula dalam botol, umumnya susu dan sari buah, yang diminum sebelum tidur pada. Penyakit ini, yang menyerang anak kecil:

Related : Karies Botol Susu - Ketika anak berusia 1 tahun, dianjurkan untuk tetap direct..